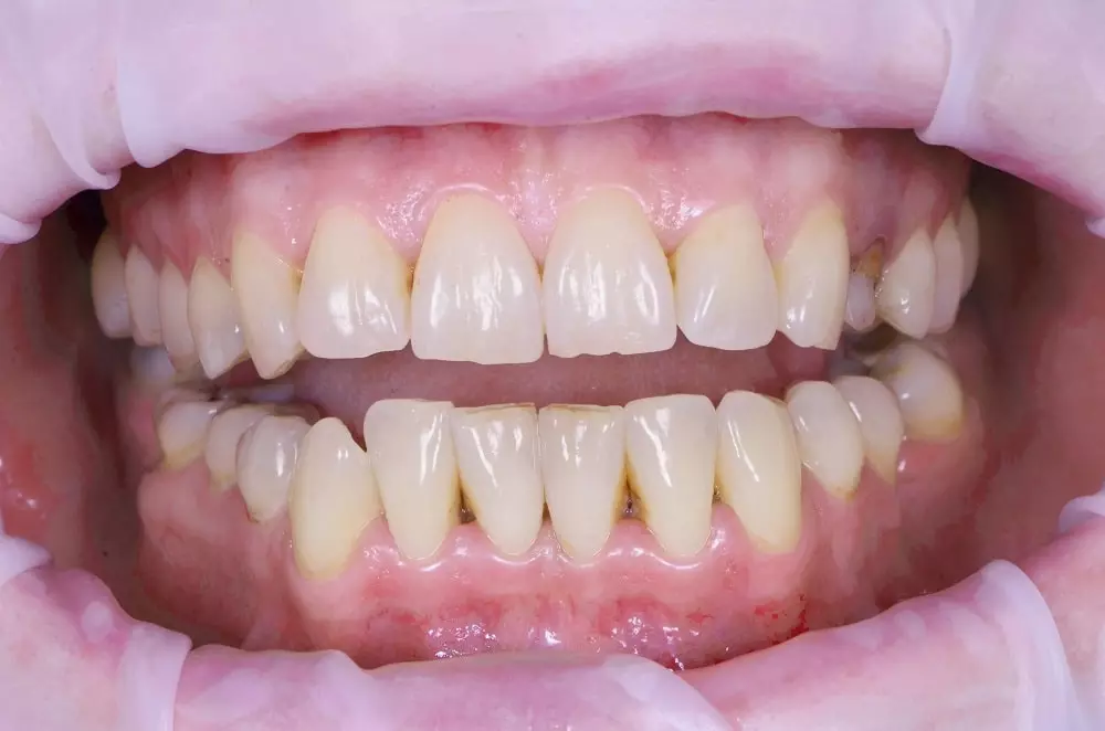
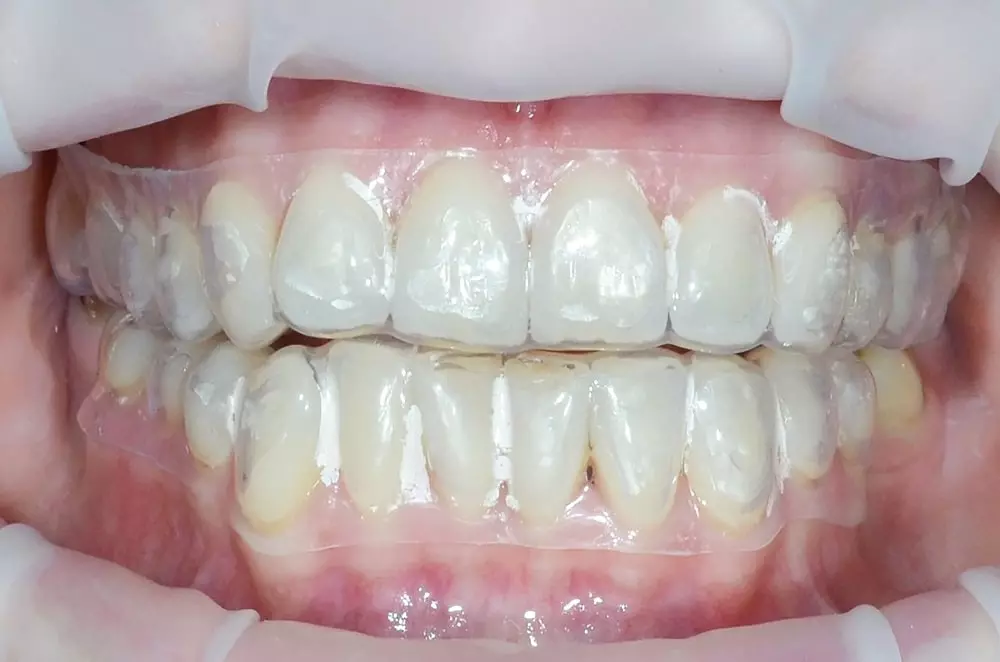
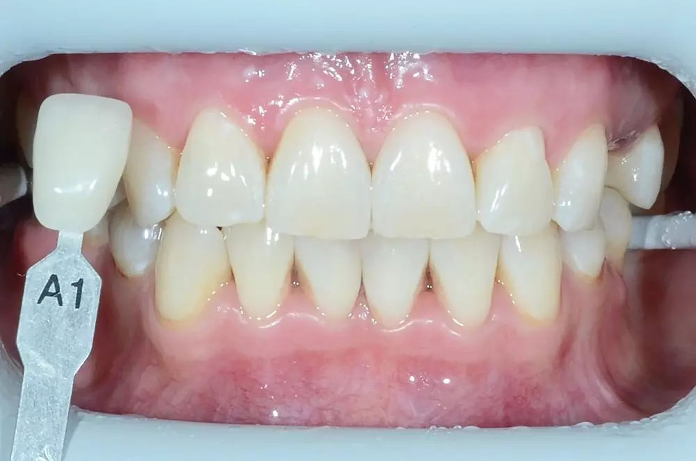
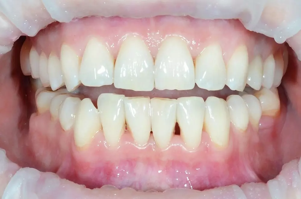
В ходе комплексного лечения совместно с пациентом было принято решение сделать отбеливание зубов. Поскольку впереди предстояло постоянное протезирование коронкой из бескаркасной керамики, цвет которой подбирается относительно соседних зубов, по желанию пациента мы провели отбеливание “Пакетное предложение Premium Flash Office” (профессиональная чистка, офисное и домашнее отбеливание), непосредственно в середине лечения.




