Пацієнт звернувся зі скаргами на велику кількість застарілих пломб, незадовільну естетику посмішки, патологічне стирання зубів, а внаслідок – знижену висоту прикусу, вираженість носогубних складок і борозни підборіддя, каріозні процеси, застрявання їжі між зубами, зміну їх кольору та форми.
При детальному огляді та діагностиці було прийнято рішення видалити зруйновані зуби і одночасно встановити імплантати Straumann Sl Active Roxolid.
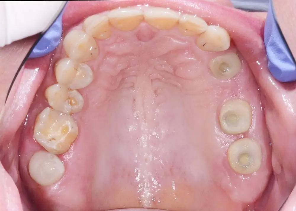
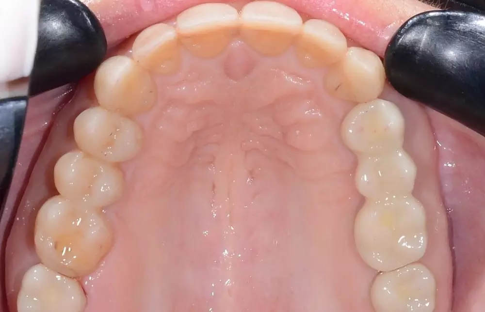
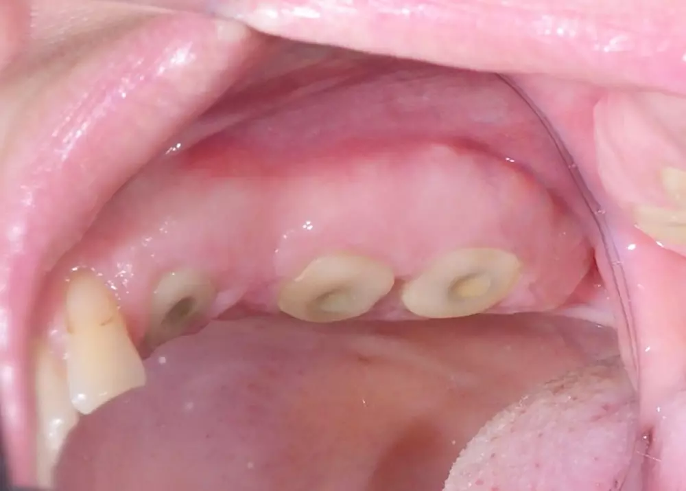
Вид ясен після інтеграції імплантації.
На фото можна побачити сформований профіль ясен перед протезуванням.
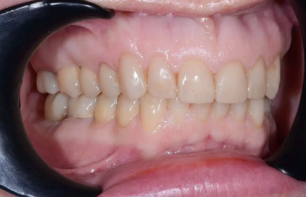
На цьому етапі був виготовлений мокап (прообраз майбутніх зубів) та виконано тимчасове протезування на імплантатах. За допомогою такої процедури доктор має можливість змоделювати і показати зовнішній вигляд зубів пацієнта без їх препарування.
Далі зуби були оброблені та підготовлені для постійного протезування.
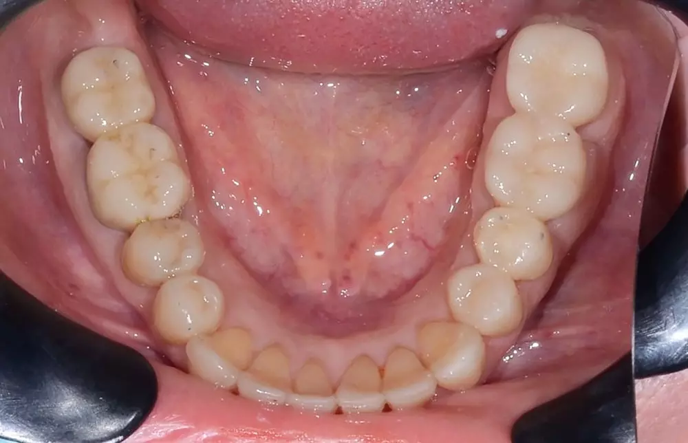
Так виглядають вже готові вініри, які фіксуються після примірки. Під час примірки пацієнт може відрегулювати будь-які нюанси по формі, довжині та кольору зубів. Після затвердження конструкцій доктор приступає до фіксації вінірів, цей процес проходить в кофердамі, щоб робоча поверхня була ізольована від вологи й слини.
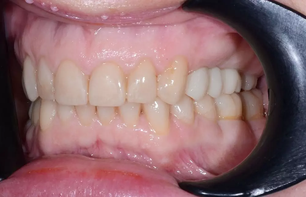
В кінцевому підсумку пацієнт отримав здорову, красиву і природну посмішку за допомогою суцільнокерамічних конструкцій.




















