Пациент обратился в клинику с жалобами на несостоятельность мостовидных протезов, подвижность зубов, дискомфорт при пережевывании пищи, страх перед стоматологическим лечением.
После проведённой диагностики выполнено компьютерное моделирование будущих конструкций, выбор и позиционирование имплантатов полное виртуальное планирование операции, изготовление хирургических навигационных шаблонов, разборной металлической балки и новых зубов на имплантатах для фиксации во время операции.
Поскольку у пациента присутствовал страх перед стоматологическим лечением, все манипуляции происходили под седацией, таким образом, пока пациент спал, доктор для максимального сохранения окружающих тканей аккуратно удалил несостоятельные зубы верхней челюсти.
С помощью разборных навигационных шаблонов провели установку имплантатов в запланированной позиции, в дальнейшем хирургический шаблон используется для позиционирования временных зубов
Этапы соединения заранее изготовленного, разборного металлического каркаса с помощью внутриротовой сварки и фиксации временных зубов с опорой на основание хирургического шаблона.
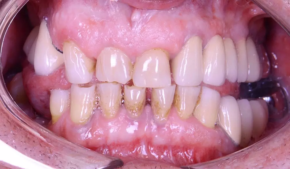
Улыбка пациента с временными зубами через неделю после операции.













